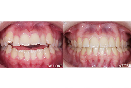
札幌で矯正歯科をお探しの方へ。
当院ではワイヤー矯正を中心に成人矯正や難症例にも対応し、
治療方法・費用・期間までわかりやすくご案内しています。
見た目や期間、費用のことまで
無理のない選択肢を
一緒に考えていきます。
これまでに1,500件以上の
矯正治療を行っています。
矯正したいけれど、
こんなことで迷っていませんか?
こうしたお悩みをお持ちの方が、
当院の矯正相談に多く来られています。
矯正治療は、年齢や歯並びの状態、生活スタイルによって
考え方や選択肢が大きく異なります。
札幌で矯正歯科を選ぶ際に
大切なポイント
矯正治療は医院によって治療方針や期間、
費用の考え方が大きく異なります。
札幌駅前の荒川デンタルクリニックでは、
ワイヤー矯正を中心に成人矯正や難症例にも対応し、
患者さま一人ひとりに合わせた治療計画を
ご提案しています。
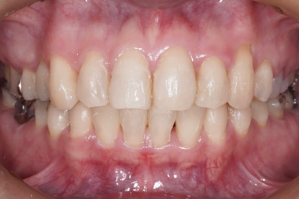
矯正治療とは、歯並びやかみ合わせを整えるために、専用の装置を用いて歯を適切な位置へ導く治療です。
一般的には「見た目をきれいにするため」と思われがちですが、本来の目的は正しいかみ合わせによる歯と顎の健康維持、さらに全身の健康促進にあります。
歯並びが整うと、清掃性が向上して虫歯や歯周病のリスクを減らせるだけでなく、かみ合わせの改善によって肩こり・頭痛・顎関節症などの予防にもつながります。
荒川デンタルクリニック(札幌駅前)では、患者さま一人ひとりのライフスタイルやご希望に合わせたオーダーメイド矯正をご提案しています。
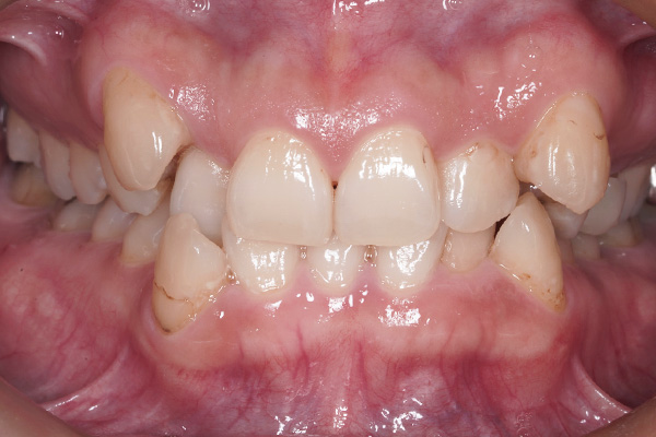
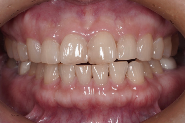
例えば「八重歯」(上顎の犬歯が外側に出ている咬み合わせ)は、若い方によく目にしますが、おじいさん、おばあさんで八重歯が生えている方を見たことがありますか?ほとんどの方は見たことがないのではないでしょうか?
その理由は、歯並びにより生涯に渡り何本の歯を残すことができるのかが決まってしまうからです。
正しい歯並びは、見た目の美しさだけでなく、歯の寿命や全身の健康に直結する大切な要素です。
歯並びの乱れは、見た目だけでなく健康面にもさまざまな悪影響を与えます。
⚫︎歯の重なり部分が磨きにくく、
虫歯や歯周病のリスク増加
⚫︎咬み合わせの偏りにより、
一部の歯がすり減る・割れるリスク
⚫︎咀嚼が不十分になり、胃腸への負担が増える
⚫︎発音が不明瞭になり、会話に影響することもある
歯並びの問題は自然に治ることはありません。
札幌で早めに矯正治療を検討することが、
将来の大きなトラブル予防につながります。
当院では、歯並びだけでなく「かみ合わせ」や将来のお口の健康まで考えた矯正治療を行っています。
年齢やライフスタイルに合わせて、無理のない治療計画をご提案しています。
まずはお話を伺いながら、治療が必要かどうかも含めてご説明しています。
矯正治療の費用は、歯並びやかみ合わせの状態、選択する治療方法によって異なります。
当院では、治療を始める前に検査結果をもとに、治療内容と費用の総額を事前にご説明しています。
※治療途中で、想定していない追加費用が発生することはありません。
※ 多くの方が、無料相談で内容と費用を確認してから治療を検討されています。
お支払い方法についても、無理のない形をご案内しています。
詳細は、無料相談時に丁寧にご説明いたします。
※無理に治療をすすめることはありません。
費用や期間についても、事前にわかりやすくご説明します。
当院の矯正治療は、単に歯を動かすだけではありません。
総合歯科ならではの強みがあります。
矯正中に必要となる他の治療も当院で対応可能です。
⚫︎虫歯治療・歯周病治療・根管治療
⚫︎咬み合わせ治療
⚫︎親知らず抜歯・矯正治療の際の小臼歯抜歯
(※親知らずの抜歯は必要に応じて口腔外科に紹介)
矯正専門医院と異なり、すべてを一つの医院で完結できるため、患者さまの負担を軽減できます。
当院は、札幌駅から徒歩圏内の便利な場所に位置しています。(モントレーエーデルホフ札幌)アクセスの良さは、長期にわたる矯正治療をスムーズに進める上で大きなメリットとなります。
荒川デンタルクリニックでは、これまで多くの矯正治療を担当してきた経験豊富な歯科医師が在籍しています。幅広い症例に対応してきた実績をもとに、患者さま一人ひとりに最適な治療プランをオーダーメイドでご提案しています。
複雑な歯列不正や難易度の高い症例にも柔軟に対応可能ですので、安心してご相談ください。

詳しく見る
矯正治療は長期間にわたって通院が必要なため、「アクセスの良さ」は非常に重要なポイントです。
荒川デンタルクリニックは、札幌駅から徒歩圏内(ホテルモントレーエーデルホフ札幌)に位置しており、通勤・通学の途中やお買い物の合間にも立ち寄りやすい立地です。
通いやすい環境は、矯正治療を無理なく続けるために欠かせない条件の一つ。
ここでは、札幌駅近くで矯正治療を受けるメリットについて詳しくご紹介します。
万が一、矯正装置の不具合や痛みが生じた場合にも、札幌駅からすぐアクセスできる当院なら、迅速な対応が可能です。
特に矯正中は、ちょっとした違和感やトラブルも放置すると大きな問題につながることがあります。
気になることがあればすぐに来院できる立地は、患者さまにとって大きな安心感につながります。
歯列矯正をしたほうが良いのか迷っている方はたくさんいるのではないでしょうか?
私の考えでは歯列矯正をしないで歯を健康にキレイに維持することは非常に難しいと考えています。
それは歯並びによって将来的に歯が何本残せるのか決まってしまうというデータが報告されているからです。
生まれつきキレイに歯が並んでいる方もいますが、歯並びに問題がある方は多いのが現実です。欧米の方に比べると生涯に残すことが出来る歯の本数が圧倒的に少ないのが日本になります。これには歯並びが関わっていると考えられます。
八重歯(上顎の犬歯が外側に出ている咬み合わせ)の若い方はよく目にしますが、おじいさん、おばあさんで八重歯のかたを見たことがあるでしょうか?
私達は多くの患者様の診療を行っていますがほとんど見たことがありません。矯正治療のイメージとして歯並びをキレイにすることが矯正治療だと思っている方が多いですが、矯正治療とは歯の本来持っている歯の機能を最大限に発揮できる場所に歯を並べてあげることが目的です。
理想的な場所に歯が移動すると、歯の並びはキレイに並んでくるのです。患者様にとって矯正治療はハードルの高い治療であると思います。
それは、健康保険外の治療になるため治療費が高額になること、治療期間が長くなることです。しかし、歯は大変価値のある人間の臓器の一つです。
人生100年時代に入り歯の重要度はますます高くなっています。
健康で笑顔あふれる魅力的な人生を送るために今一度歯並びについて考えてみませんか?
矯正は見た目を整えるだけの治療ではありません。
歯と全身の健康を守る大切な治療です。
歯並びが整えば歯磨きがしやすくなり、磨き残しが減ることで虫歯や歯周病のリスクを大幅に軽減できます。
かみ合わせのバランスが取れることで噛む力が均等に分散され、顎関節や筋肉への負担が減り、肩こり・頭痛の改善につながることがあります。
しっかり噛めるようになることで胃腸への負担が減り、全身の健康状態が向上することも期待できます。
矯正治療は心の健康にも大きな効果をもたらします。
⚫︎自信を持って笑顔を見せられる
⚫︎初対面での印象が良くなる
⚫︎写真を撮ることが楽しくなる
特にビジネスやプライベートで人と接する機会の多い方にとって、自信のある笑顔は大きな財産です。
矯正治療は、あなたの未来をより前向きで豊かにする人生への投資ともいえます。
荒川デンタルクリニックでは、患者さま一人ひとりのライフスタイルやご希望に合わせ、さまざまな矯正治療方法をご提案しています。
見た目を重視したい方、できるだけ早く整えたい方、目立たない治療をご希望の方など、それぞれのお悩みに応じた最適なプランをご用意しています。ここでは、当院で提供している矯正治療メニューをご紹介します。
最もスタンダードな矯正方法が、ブラケットとワイヤーを使った「ワイヤー矯正」です。
歯の表面に装置を付ける一般的な方法で、幅広い症例に対応できる高い治療効果が特徴です。近年では、透明や白色の目立ちにくいブラケットもあり、以前よりも自然な見た目で治療が可能になっています。
透明なマウスピース型の装置を使って歯を動かす矯正方法です。
見た目がほとんど気にならないことに加え、食事や歯磨きの際には取り外しができるため、普段通りの生活がしやすいのが大きな特徴です。
当院では、精密なデジタルシミュレーションを行った上で、患者さまに最適なマウスピース矯正プランをご提案しています。軽度から中程度の歯並びの乱れに適しております。
前歯だけのずれや、すき間だけを整えたい方には「部分矯正」もご提案しています。気になる部分だけにアプローチするため、治療期間が短く、費用負担も抑えられるのがメリットです。
「結婚式までに前歯をきれいにしたい」
「マスクを外す機会が増えたので、今のうちに整えたい」
といったご希望にも柔軟に対応可能です。短期間で自然な仕上がりを目指す方におすすめの選択肢です。
「矯正は若いうちだけ」というイメージを持っていませんか?
実際には、歯と歯周組織の状態が良好であれば、年齢を問わず矯正治療は可能です。骨の柔軟性は若いほど高いものの、技術の進歩により中高年の方でも無理なく治療を受けることができるようになっています。
重要なのは、「やりたい」と思った今が最適なタイミングだということ。年齢にとらわれず、一歩踏み出してみてください。
20代は、社会人生活や結婚式などの人生イベントを見据えて、「きれいな歯並び」を意識するタイミングです。
骨の成長はほぼ完了していますが、まだ代謝が活発なため、歯の移動もスムーズ。学生時代にできなかった矯正を社会人になってからスタートする方も増えています。
将来に向けた美しさと健康の両方を手に入れるために、最適な時期です。
30代は、見た目だけでなく、健康維持という視点も重要になります。かみ合わせの乱れや歯列不正を放置すると、将来的に歯周病リスクや歯の寿命に影響を与えることもあります。
この時期の矯正は、歯並びの美しさだけでなく、かみ合わせのバランスを整える意味でも重要です。
将来の歯の健康を守るためにも、30代での矯正は非常に有効です。
20代・30代は、見た目や日常生活への影響を考えながら、矯正方法を検討される方が多い年代です。
仕事やプライベートに配慮しつつ、無理のない方法を一緒に考えていきます。
40代、50代になってから矯正を始める方も珍しくありません。この年代では、歯並びをきれいに整えるだけでなく、かみ合わせの改善や咀嚼機能の回復を目的とするケースが増えてきます。
また、歯周病予防のために歯並びを整えるという考え方も一般的になっています。
歯並びだけでなく、かみ合わせや歯の状態を考慮しながら、矯正方法を検討することが大切な年代です。
「今さら」ではなく「今だからこそ」。
将来のために、今スタートする価値があります。
当院では、治療期間や負担も踏まえ、現実的な選択肢を一緒に考えていきます。
10代は、骨の成長が活発で歯の動きもスムーズなため、矯正治療に最も適した時期と言われています。
骨格の成長を利用しながら歯並びとかみ合わせを整えることができるため、将来的な大きなトラブル(歯列不正、顎関節症、咬合異常)を防ぐ効果も期待できます。
また、この時期に矯正治療を行うことで、自己肯定感や自信を早い段階で育むことができ、思春期・青年期の心理的成長にもプラスに働きます。
早期からしっかりとした矯正治療を受けることは、一生ものの財産になります。
当院では、成長段階に合わせて、歯やあごの発育を活かした矯正治療を行います。
将来を見据えた治療計画について、丁寧にご説明します。
矯正治療というと、「子どもが受けるもの」というイメージを持たれる方も多いかもしれません。しかし、近年では30代・40代以降に矯正を始める大人の患者さまが増えています。
一方で、大人だからこそ抱える不安や悩みも少なくありません。ここでは、大人の矯正に多いお悩みと、それに対する当院のサポート体制をご紹介します。
「装置が目立つのが嫌で、なかなか矯正に踏み出せない」という声はとても多く聞かれます。当院では、目立ちにくい矯正治療の選択肢を豊富にご用意しています。
⚫︎透明または白色のブラケットを使ったワイヤー矯正
⚫︎透明なマウスピース型矯正装置(インビザラインなど)
それぞれの特徴やライフスタイルに合わせた治療方法をご提案し、できるだけ目立たず、自然に矯正治療を進めることができます。見た目に配慮しながら、自信を持って矯正に取り組んでいただける環境を整えています。
「営業職で人前に出る機会が多い」「接客業で装置が目立つと困る」など、社会人の患者さまからよくいただくご相談です。
荒川デンタルクリニックでは、患者さまの職業やライフスタイルを十分に考慮した矯正治療をご提案しています。また、装置を付ける位置や治療開始のタイミングについても、できる限り柔軟に対応いたします。
「仕事に支障を出さない」を大前提に、無理のない治療計画を一緒に立てていきますので、安心してご相談ください。
矯正治療の期間は、個々の歯並びの状態や治療方法によって異なりますが、一般的には1年半〜2年程度が目安となります。
ただし、部分矯正の場合や軽度の歯列不正の場合は、半年〜1年以内で完了するケースもあります。
治療開始前にしっかりとカウンセリングを行い、一人ひとりに最適な治療期間と計画をわかりやすくご説明しています。不安な点があれば、何でもご相談ください。






































ブログでも関連情報を掲載しておりますので、よろしければ併せてご覧ください。
詳しく見る矯正治療は、ただ装置をつけるだけではなく、カウンセリングから治療完了後のケアまで、段階を踏んで進める治療です。
荒川デンタルクリニックでは、患者さまに安心して治療を受けていただけるよう、丁寧な説明とサポートを大切にしています。ここでは、矯正治療の一般的な流れと、必要なおおよその期間についてご案内します。
まずは無料カウンセリングにて、現在の歯並びやお悩み、ご希望を詳しくお伺いします。
その後、必要に応じてレントゲン撮影や口腔内スキャン、写真撮影などの精密検査を行い、歯や骨の状態を詳細に分析します。
分析結果をもとに、最適な矯正治療の方法・期間・費用をわかりやすくご提案します。
※カウンセリング〜検査〜診断まで:約1〜2週間
治療計画にご納得いただけたら、いよいよ矯正装置の装着です。
⚫︎表側ワイヤー矯正
⚫︎マウスピース矯正
それぞれの方法に合わせて、最初の装置を取り付け、歯を少しずつ理想の位置に動かしていきます。矯正期間中は、3〜6週間に一度のペースで通院していただき、微調整や進行状況のチェックを行います。
すべての歯が理想の位置に整ったら、矯正装置を外します。しかしここで終わりではなく、後戻りを防ぐための保定(リテーナー)期間に入ります。
保定装置(リテーナー)を一定期間装着することで、動かした歯を安定させ、きれいな歯並びを長期的に維持します。
⚫︎最初は毎日長時間の装着
⚫︎徐々に装着時間を減らしていく
という流れで、無理なく保定を進めていきます。
【保定期間:1年半〜2年程度】
(軽度の場合や部分矯正なら、半年〜1年程度で終了するケースもあります)
矯正治療が終了しても、そこで全てが完結するわけではありません。
動かした直後の歯は安定しておらず、放置すると後戻りしてしまうことがあります。
そのため、治療後は保定装置(リテーナー)を装着し、数年かけて安定させることが大切です。
⚫︎矯正後のホワイトニング
⚫︎定期的なクリーニング
⚫︎定期検診でのかみ合わせチェック
荒川デンタルクリニックでは、矯正後も患者さまを継続的にサポートし、美しい歯並びと健康を維持できるようにしています。
矯正治療の費用は、治療法や症例の難易度によって異なりますが、一般的な目安は以下の通りです。
| 精密検査費用 | 38,500円(税込) |
|---|
| 表側ワイヤー矯正 | 990,000円(税込) |
|---|---|
| マウスピース矯正 (インビザライン) |
1,045,000円(税込) |
| 部分矯正 | 495,000円(税込)〜 |
| リテーナー | 38,500円(税込) |
|---|
※ 2025年12月現在
※ 治療内容・歯の状態により費用は異なります
※費用には、調整費用、虫歯管理費用、矯正治療後6ヶ月の保定期間の費用が含まれています。
詳しい金額は、カウンセリング後に個別の治療プランとあわせてお見積りいたしますので、ご安心ください。
札幌の矯正 荒川デンタルクリニックでは矯正費用をトータルフィー制度にしています。
高額な買い物をするときに総額がわからない買い物をすることはあるでしょうか?矯正治療は後出しで、費用が増えていくことが多々あります。当院ではそのようなことがないように最初に最終見積もりを提示し追加費用が発生することはありません。
札幌は地下歩道網が発達し、仕事帰りでも矯正通院がしやすい街です。その一方で、「初回は安く見えても総額が分からない」という費用トラブルが後を絶ちません。札幌の矯正 荒川デンタルクリニックは“追加ゼロ”のトータルフィー制を採用し、札幌の矯正ユーザーの不安を解消します。
矯正治療は医院によっては調整料が別途かかります。月々の調整料を積み上げたら「最終的に100万円超え…」という声も。
当院はトータルフィー(総額制)を採用し、追加費用ゼロを保証します。

詳しく見る
「一括払いは難しい」という方のために、当院では分割払いやデンタルローン(医療ローン)に対応しています。
たとえば、ワイヤー矯正の場合、医療ローン(アプラス 金利3.9%)を利用すれば月々約10,000円〜始めることも可能です。
⚫︎初期費用が抑えられる
⚫︎手元の資金を大きく減らさずに治療できる
⚫︎無理のない月額払いで治療を進められる
医療ローンをご希望の場合は、カウンセリング時にスタッフまでお気軽にご相談ください。
▶︎横にスクロールできます
| 通常価格 | 120回払い | 60回払い | 30回払い | ||||
|---|---|---|---|---|---|---|---|
| 内容 | 費用 | 1回目 | 2回目以降 | 1回目 | 2回目以降 | 1回目 | 2回目以降 |
| 矯正治療 | 990,000円 | 13,464円 | 9,900円 | 20,704円 | 18,100円 | 35,902円 | 34,600円 |
⚫︎1年間(1/1〜12/31)に支払った医療費が10万円、
または所得の5%を超えた分を所得から差し引ける制度
⚫︎歯科矯正は機能回復(噛み合わせ改善)目的なら対象
⚫︎上限200万円/年
⚫︎領収書は5年間保管・「医療費控除の明細書」を
確定申告に添付

詳しく見る
矯正治療を検討されている方からは、多くのご質問をいただきます。
初めての矯正治療に対する不安を少しでも解消できるよう、特によくあるご質問にお答えします。
A. 乳歯と永久歯が混在する「混合歯列期」(7〜9 歳ごろ)が目安です。
骨の成長を利用できるため、抜歯を回避できるケースも多く、将来の咬合トラブルを未然に防げます。
A. 可能です。Ⅰ期治療(咬合誘導)では取り外し式装置や床矯正を用いて顎の成長をコントロールし、永久歯列期の本格矯正を容易にします。
A. 歯の色調に近い半透明素材のため、金属ブラケットに比べて装置がほとんど目立ちません。金属アレルギーの心配も軽減できます。
A. 矯正治療では、歯が動き始めるタイミングで軽い痛みや違和感を感じることがあります。
特に装置をつけた直後や、ワイヤー調整後の数日間は、食事の際に「噛みにくい」「歯が浮いたような感じがする」といった症状が出ることもあります。
ただし、痛みは通常数日〜1週間程度で自然に慣れていくため、長期間続くことはほとんどありません。
痛みが強い場合は、ワイヤーの調整を工夫したり、鎮痛剤を処方することも可能ですので、ご安心ください。
A. すぐに当院へご連絡ください。次段階のアライナーが適合するかを確認し、必要に応じて再製作します。放置すると歯の移動が戻ってしまうので注意が必要です。
A. 渡航期間に合わせて装置調整スパンを変更し、予備アライナーや応急キットをお渡しします。帰国後は再評価し、スムーズに治療を再開できます。
A. 歯列と咬合が整うことで口元の突出感やフェイスラインが改善することがあります。3Dシミュレーションで術前後の変化を事前に確認できます。
A. 軽度の顎関節症は咬合改善で症状が緩和するケースもあります。
顎関節の精密検査を行い、必要に応じてスプリント療法と併用します。
A. 表側装置ではあまり影響はないと考えられますが、マウスピース矯正では最初発音しにくくなる可能性があります。
A. 清掃が不十分だと着色・口臭リスクが高まります。
ワイヤー矯正の場合は1ヶ月ごとに、マウスピース矯正の場合1〜3ヶ月ごとにクリーニングを行い、予防していきます。
A. はい、最大120回までのデンタルローン(金利3.9%)がご利用可能です。デンタルローン18回までの金利は当院にて負担します。
その他、院内分割も可能です(分割条件あり)手数料・月額シミュレーションは無料で行います。
A. 矯正治療中は、2〜4週間(基本的に4週間)に1度のペースで通院していただきます。通院時には、装置の調整や歯の動きのチェックを行い、スムーズに治療が進んでいるかを確認します。
また、マウスピース矯正の場合は、マウスピースの交換・フィット確認のために2ヶ月ごと程度の来院となる場合もあります。
荒川デンタルクリニックでは、患者さまのライフスタイルに合わせたスケジュール調整も柔軟に対応していますので、無理なく治療を続けることができます。
A. 歯の位置が不安定なまま止まるため、後戻りや咬合異常が生じる恐れがあります。やむを得ない場合は仮保定装置で極力変化を抑えます。
A. 保定期間内(2年)の小規模後戻りは無償で再調整いたします。
A. 歯科用CBCTの被ばくは胸部X線の1/5以下で、国際基準を大きく下回ります。必要最小限の撮影範囲で行うためご安心ください。
A. 機能回復を目的とする矯正(咬合異常の改善など)は医療費控除の対象です。領収書と診断書を確定申告で提出してください。
A. 舌癖や口呼吸がある場合、MFTを併用すると後戻り防止や顔貌改善に効果的です。当院では専門トレーナーが個別指導を行います。
A. 動かせない歯を固定源として利用したり、部分矯正で周囲歯のみ動かすなど症例に応じて対応可能です。事前にCT解析で安全性を確認します。
A. 上下の歯列にかける小さなゴムで咬み合わせを微調整します。1日20時間以上の装着が理想ですが、装着方法は簡単で数日で慣れます。
A. 全器具をクラスBオートクレーブで滅菌し、診療毎にユニット・取っ手類を医療用高水準消毒剤で清拭します。
使い捨て製品を多用し、口腔外バキュームとHEPA空気清浄機を常時稼働しています。
A. 矯正中は装置の影響で歯磨きが難しくなり、虫歯や歯周病のリスクが高まることがあります。当院では、矯正中も定期的なクリーニングや口腔ケア指導を行い、虫歯予防に力を入れています。
万が一、矯正中に虫歯が見つかった場合でも、必要に応じて治療を優先しながら矯正を継続することが可能です。状態に応じて、矯正装置を一時的に外して虫歯治療を行うケースもありますので、何かあればすぐにご相談ください。
A. 当院では基本的に非抜歯にて矯正治療を行っています。また、矯正治療において重要な確実な固定源を得るための矯正用スクリュー、IPR(歯を少し削り歯のサイズを小さくすこと)、側方拡大(歯のアーチを横に広げる)等を行うことにより治療期間は早くなります、もちろん、歯を抜かないと矯正治療ができない場合もあります。抜歯矯正になった場合は非抜歯矯正よりは期間が長くなることがあります。
A. 矯正治療費、虫歯管理予防費、月々の調整費、矯正治療後6ヶ月間の管理費が含まれています。
矯正治療に関する追加費用は一切かかりません。(虫歯が見つかった場合は虫歯の治療費がかかります。)
A. 矯正装置に使用されている金属にアレルギーがある場合はアレルギー症状が出る可能性があります。矯正治療における金属アレルギーで多いものは、ニッケル、クロム、そしてコバルトなどです。特にニッケルに関してはブラケット、ワイヤーに使われていることが多く、金属アレルギーの患者様に反応してしまうことがありました。
現在の矯正治療方法に関しては、セラミックブラケット、チタン合金のブラケットを使用しての矯正治療、アライナー矯正(マウスピース矯正)など金属アレルギーの患者様向けの対応も行っています。
A. 矯正治療後に歯根吸収(歯の根が短くなる)を起こす可能性があります。
歯の重なりが強い場合は歯と歯の間に隙間ができる可能性があります。
また、歯肉が薄い場合は歯肉退縮(歯肉が下がる)がおきる可能性があります。
A. お顔を横から見た際に口元がかなり前に出ている場合、歯の重なりが著しく、スペースを作ることが難しい場合などは抜歯が必要な可能性があります。
A. 当院では矯正治療を行う際には、親知らずの抜歯は必ず行います。
A. 差し歯があっても矯正治療は可能です。被せ物の部位や大きさにもよりますが、歯の根の状態が良ければ、たいていの場合、差し歯があっても問題なく治療できます。被せ物の状態が良ければ表面を少し削り傷つけてから矯正装置をつけます。被せ物の状態が良くなければ被せ物を外しプラスチック製の仮歯に変えてから矯正装置をつけていきます。
何本か歯を失って大きなブリッジが入っている場合は、ブリッジを一度はずして、プラスチック製の仮歯などを入れてから治療することもあります。また、天然の歯と比べると接着剤がつきにくいため、治療途中で矯正装置がはずれることも考えられます(装置が外れた場合は再度接着剤でつけ直せば問題ありません)。
A. 精密検査を行い治療方針の決定をしていきますので矯正治療後に口元が前に出ることはありません。もともと口元がかなり前に出ている場合は非抜歯では難しいこともありますので抜歯矯正になる事も考えられます。
歯並びやかみ合わせの状態によって、 適した矯正方法は異なります。
当院では、検査結果をもとに 無理のない治療方法をご説明しています。
治療内容や歯並びの状態によって異なりますが、事前に治療期間の目安をお伝えしています。
生活やご希望も踏まえて、無理のない計画を立てます。
治療開始前に、 必要な治療内容と費用の総額をご説明します。
想定していない追加費用が 発生することはありません。
できるだけ普段の生活に配慮しながら、 治療計画を立てています。
ご不安な点は、事前にしっかりご相談ください。
矯正治療は、 年齢だけで判断するものではありません。
お口の状態を確認した上で、適した方法をご説明します。
A. 基本的に大きな支障はありません。ワイヤー矯正の場合も、慣れれば体育・部活動にも問題なく取り組めます。目立ちにくい透明ブラケットを使用するなど、見た目にも配慮した装置を選ぶことが可能です。
A. スポーツによっては、マウスガードの使用をおすすめする場合があります。特に激しい接触のある競技では、事前に相談して適切な対応を取ることが可能です。
A. もちろん可能です。成長期を活かして、骨格のバランスも考慮しながら治療を進めることができるため、むしろこの時期は矯正に適しています。
A. 目立たない矯正(マウスピース矯正や透明ブラケット)を選択すれば、就職活動中もほとんど気にせず活動できます。面接時にも問題ありません。
A. 治療内容によりますが、前撮りや式当日に一時的に装置を外すなど、個別対応が可能な場合もあります。お気軽にご相談ください。
A. 調整は4週間に一度なので、スケジュールに合わせた通院が可能です。夜間や土曜診療にも対応していますので、無理なく続けられます。
A. 当院では矯正中も定期的なクリーニングとメンテナンスを行い、口腔内を常に良好な状態に保つサポートをしています。安心して治療を続けていただけます。
A. 問題ありません。歯や歯周組織の健康状態が良好であれば、40代、50代、さらには60代以降でも矯正治療は可能です。年齢に関係なく、歯並びを整えるメリットは大きいです。
いいえ。ご相談だけでも問題ありません。
内容や費用をご確認いただいたうえで、治療をするかどうかはご自身でお決めいただけます。
もちろん大丈夫です。
お口の状態を確認し、可能な選択肢をご説明します。
矯正治療は、あなたの未来の笑顔と健康を支える大切な治療です。
荒川デンタルクリニックでは、初回無料カウンセリングを実施中です。
⚫︎自分に合った矯正方法は?
⚫︎期間や費用について知りたい
⚫︎目立たない矯正はできる?
どんな小さなことでも構いません。お気軽にご相談ください。
⚫︎お電話またはWEB予約フォームから
⚫︎カウンセリング希望日時をお知らせください
あなたの「理想の笑顔」への第一歩を、私たちと一緒に踏み出しましょう。
| 診療時間 | 月 | 火 | 水 | 木 | 金 | 土 | 日 |
|---|---|---|---|---|---|---|---|
| 09:30 - 13:30 | ● | ● | ー | ● | ● | ● | ー |
| 14:30 - 18:30 | ● | ● | ー | ● | ● | ● | ー |