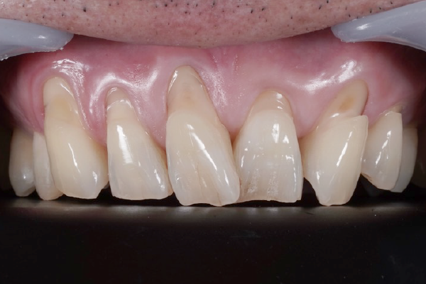
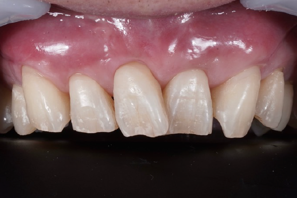
歯肉退縮の原因としましては、歯周病、咬合、ブラッシング圧や加齢、歯の位置異常、歯肉の厚みなどの問題が考えられます。歯肉が下がってしまうと、本来歯肉によって覆われている歯根が露出してしまいます。歯肉が下がってしまった部位は知覚過敏を伴うことがあります。また、非常に虫歯になりやすいため注意しなくてはいけません。
歯肉が下がってしまった部位は歯肉移植により治療を行うことが最善の方法になります。
当院ではマイクロスコープを使用し、より低侵襲で痛みの少ない歯肉移植を行っております。


| 主訴 | 歯茎下がりを治したい |
|---|---|
| 治療期間 | 2ヶ月 |
| 治療費 | 403,700円(税込) |
| 治療内容 | 歯肉移植5歯 |
| 治療のリスク | 処置後痛み、腫れ、出血が出る可能性があります。 |


| 主訴 | 歯肉が下がっている |
|---|---|
| 治療期間 | 2ヶ月 |
| 治療費 | 110,000円(税込) |
| 治療内容 | 歯肉移植1本 |
| 治療のリスク | 処置後に痛み、腫れ、出血が出る可能性があります。 |
冷たいものがしみる事を主訴に来院されました。検査の結果、歯肉退縮のため冷たいものが
しみていると診断。
治療方針として歯肉移植を行い改善することに決定。


| 主訴 | 冷たいものがしみる |
|---|---|
| 治療期間 | 2ヶ月 |
| 治療費 | 合計:154,000円(税込) 【詳細】 歯肉移植 1歯: 77,000円(税込)×2 |
| 治療内容 | 根面被覆2本 |
| 治療のリスク | 処置後痛み、腫れ、出血が出る可能性があります。 |
矯正治療後に歯肉が下がってしまったことが主訴で来院されました。


| 主訴 | 下がっている歯肉を治したい |
|---|---|
| 治療期間 | 1ヶ月 |
| 治療費 | 合計:154,000円(税込) 【詳細】 歯肉移植 1歯: 77,000円(税込)×2 |
| 治療内容 | 歯肉移植 |
| 治療のリスク | 処置後痛み、腫れ、出血が出る可能性あります。 |
冷たいものやブラッシング時にしみることが主訴で来院されました。


| 主訴 | 冷たいものがしみる |
|---|---|
| 治療期間 | 1ヶ月 |
| 治療費 | 合計:77,000円(税込) 【詳細】 歯肉移植 1歯: 77,000円(税込) |
| 治療内容 | 歯肉移植 |
| 治療のリスク | 処置後痛み、腫れ、出血が出る可能性あります。 |


| 主訴 | 歯のクリーニングをしたい。 |
|---|---|
| 治療期間 | 1ヶ月 |
| 治療費 | 154,000円(税込) 歯肉移植 1歯:77,000円(税込)✕2 |
| 治療内容 | 歯肉移植 |
| 治療のリスク | 処置後痛み、腫れ、出血が出る可能性があります。 |


| 主訴 | 下がった歯肉を治療したい |
|---|---|
| 治療期間 | 1ヶ月 |
| 治療費 | 77,000円(税込) |
| 治療内容 | 歯肉移植治療 |
| 治療のリスク | 処置後痛み、腫れ、出血が出る可能性があります。 |


| 主訴 | 歯肉が下がっている |
|---|---|
| 治療期間 | 2ヶ月 |
| 治療費 | 231,000円(税込) |
| 治療内容 | 歯肉移植3本 |
| 治療のリスク | 処置後に痛み、腫れ、出血が出る可能性があります。 |
だんだん歯茎が痩せてきている事を主訴に来院されました。検査の結果、歯肉退縮と診断。
治療方針として歯肉移植を行い改善することに決定。赤い矢印部の歯肉の再生が認められました。


| 主訴 | 歯茎が痩せてきた気がする |
|---|---|
| 治療期間 | 2ヶ月 |
| 治療費 | 合計:154,000円(税込) 【詳細】 歯肉移植 1歯: 77,000円(税込)×2 |
| 治療内容 | 根面被覆(マイクロサージェリー)2本 |
| 治療のリスク | 処置後痛み、腫れ、出血が出る可能性あります。 |
| 診療時間 | 月 | 火 | 水 | 木 | 金 | 土 | 日 |
|---|---|---|---|---|---|---|---|
| 09:30 - 13:30 | ● | ● | ー | ● | ● | ● | ー |
| 14:30 - 18:30 | ● | ● | ー | ● | ● | ● | ー |