審美歯科とは歯の色や形を変える治療になります。口元で人の印象は大きくかわりますので歯の色や形を整えることは重要です。
口元がキレイになると自然と笑顔に自信がつくようになってきます。
しかし、歯には本来噛むという機能がありますので機能的でなくてはなりません。
お口の中に入るものですから安全性、生体との親和性も重要です。
審美歯科とはこれらを総合的に診断し治療を行うことです。
当院では、患者さまととことん話し合い最終的な歯の色・形を決めていきます。
また、美しく整った歯にすることはもちろんですが、私達が治療した歯は患者さまの体の一部になるものです。当然ですが体に安全であることが非常に重要なのです。
私達は、歯・体の健康を考慮した審美歯科治療を行っていきます。
当院では「より美しく、よく噛め、より安全に」という最終ゴールを目指し、治療していきます。しっかりとした治療を行うためには時間がかかります。患者さま一人一人に十分な時間をかけ、一つ一つの治療を緻密に行っていきます。
歯を美しく見せるためには、歯肉の状態、被せ物をする歯自体の状態も大変重要です。歯肉移植、神経がない歯の場合根の治療等を行い被せ物をする前に徹底的にコントロールしていきます。
セラミック治療とは、いわゆる差し歯と皆さんが呼んでいる治療となります。
歯を削りセラミックのかぶせ物でキレイに仕上げる方法です。
非常にキレイですので、治療した歯がわからないように治療することができます。
また、セラミックは汚れがつきにくいので虫歯にもなりにくい治療方法です。
歯の長さや軸方向を顔貌に調和させることで、近くでもみても遠くから見ても美しい表情を考え、歯の長さや形態を煮詰めていきます。
歯茎との連続性は、まるで歯が生えているかのような自然観を与えてくれます。
これらは、『物が詰まりにくい』『磨きやすい』『歯周病になりにくい』などの快適性にも大きく影響します。
下唇のドライウエットライン(乾いているところと濡れのあるところの境目)のわずかに内側に位置させることで、口唇が閉じやすく快適性を叶えます。
忘れてはならないのが、『歯は飾りでなく、咀嚼するための臓器である』ことです。
前歯の長さは噛みやすさや長期安定性にも影響を与えるため、十分な診査の上で行います。
セラミックは、近年歯科治療の中で大きな発展を遂げ、学術的にも確立されております。
しかし、治療の手順や主義によって予後が大きく異なります。歯の健康を考えつつ、機能性を回復する中で成功させるためには、様々な注意点が存在します。
保険制度の影響から選択される治療や材料には制限があり、残念ながら最低限の治療しか行われないのが現状です。
保険適応治療と保険外治療は何が違うの?こういった疑問をも持たれる方が少なくありません。
銀歯とセラミックそれぞれがどういう治療をされるのか、またどういう特徴を兼ね備えているのかをまずは理解して頂くことが大切ですので、ここでは保険と保険外治療の違いについてセラミック治療が再治療を少なくさせる特徴を出しながら説明していきます。
精度が良いということは削った歯に対してぴったりと着いていることが条件となります。
一度失ってしまった歯は二度と戻りませんから、それに置き換わる材料というのは削られた歯に対し段差もなく滑らかであることが大事です。
セラミックはその特徴を有しています。一方で銀歯ではどうしてもその削った部分とのギャップが生じてしまうのが現状で、食べカスなどが引っかかり残ってしまうのです。
精度が良いことと関連して、汚れが溜まりにくくなると歯磨きも行いやすくなりますので、虫歯になるリスクも銀歯に比べ大きく下がってきます。
併せて歯科医院で定期的なメンテナンスを行い、歯石やバイオフィルムの除去など日常で落とせない汚れを除去することでさらなる虫歯予防へとつながっていきます。
型をとる材料にも違いがあります。保険診療ではアルジネートと言われる安価な材料で行います。
材料の変形もしやすく、精度に劣ることとなります。
セラミックに用いられる材料はシリコンと言われるゴム製の材料です。
固まった後の変形が小さく、エラーが起きにくい材料です。
保険診療で認可されているセメントは繰り返しの咬む力に耐えうる強度がなく、破壊されて唾液によって溶かされてしまうことがあります。その隙間に虫歯菌が侵入して虫歯を進行させます。
セラミックで使用するセメントは、確実につめ物と歯を接着させます。また力や水分にも強い性質があります。口の中は様々な温度の物や酸っぱい辛いといった刺激物も入る過酷な環境です。そこでも維持出来る接着剤がセラミックの特徴です。
1本だけ銀歯で他周りが白い場合、銀歯がやけに目立ってしまいます。会話の最中や笑った時にどうしても相手から見られてしまいます。
銀歯を用いた治療も日本人だけですので、海外でも好奇な目で見られてしまうことがあるようです。セラミックは歯の色を再現出来るので、違和感無く自然な状態でいられます。
金属は口の中に入ると、徐々にその成分が溶け出してきます。その結果アレルギーなどを引き起こす原因にもなり、また金属の周りの歯茎が黒ずんだり、歯そのものが黒くなってくることがあります。歯茎に刺青が入っているように色が残ってしまいます。
銀歯は削った歯と厳密にはぴったりとは接着されていません。そのためその境目から汚れや菌が入り込みやすく、虫歯になりやすいものです。
一方でセラミックは精度に優れ、また使用する接着剤も劣化がしにくいため、様々な刺激が多い口の中でも安定した状態を維持出来ます。
セラミックは表面がツルツルしていて汚れがつきにくい素材ですが、銀歯は作られる工程で細かな傷が多く作られます。
そこには汚れがつきやすく、落としにくくなっています。
また傷がついたときなどは更に汚れがつきやすくなりますので、歯磨きでも汚れが残りやすく、虫歯のリスクもあがってしまいます。
セラミックの寿命は、セラミック自体の寿命とセラミックを接着するセメントの寿命という2つの観点から考える必要があると思います。
セラミック自体の寿命は、10~20年くらいと言われています。
人工的に作られたものですので、生涯に渡り使用できるわけではありません。被せ物自体よりも、被せ物をつけるセメント(接着剤)の劣化が問題になります。
セラミック治療は、セットして終わりではなくセットしてからが始まりです。なぜならば、材料にはそれぞれ特性があり、寿命は日々の歯ブラシ、定期的な歯科医院でのメンテナンスや歯ぎしり・食いしばりの程度、ナイトガードの装着有無などにより、人それぞれ異なるからです。
どのようなアフターケアが必要かを主治医と相談し、より長く使用できるようにしていきましょう。
当院では10年間保証制度(5年間は100%保証)を設けています。
セラミック治療は患者様一人一人のご要望にあったオーダーメイド治療になりますので非常にきれいに自然に治療することができます。
虫歯治療では、「レジン」という修復材料を使う場面が多いです。
白色を呈しているので、セラミックとの違いがよくわからないという方もいらっしゃるかもしれませんね。
レジンは「歯科用プラスチック」であり、セラミックと比較すると、審美性・耐久性・機能性に大きく劣ります。材料費が安価で、保険も適用されるのですが、セラミックとは根本的に異なる材料といえます。
セラミック製のお皿とプラスチック製のお皿の違いをイメージすることで、セラミック歯とレジン歯の違いも明瞭になることかと思います。
歯科用セラミックは、極めて安定した材料です。口腔内という過酷な環境に5年、10年とさらされても、変形したり、溶け出したりすることがほとんどありません。着色や摩耗なども起こりにくく、いつまでも美しい状態を保てます。
1本から治療可能です。お気軽にご相談ください。


| 主訴 | 前歯を治したい |
|---|---|
| 治療期間 | 7ヶ月 |
| 治療費 | 924,000円(税込) |
| 治療内容 | セラミック治療 |
| 治療のリスク | セラミックが破折する可能性あります。 |
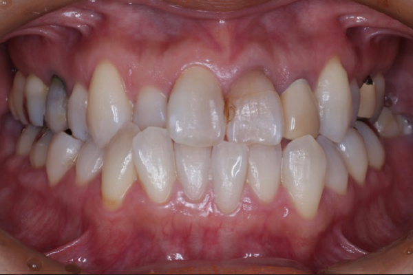
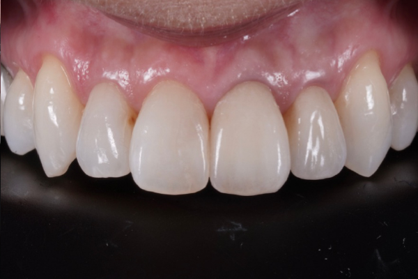
子供の頃にぶつけて治療した前歯を綺麗にしたいと来院されました。
歯の神経がなかったため根の治療を行い、歯肉に炎症があったため歯肉の治療を行いました。その後セラミッククラウン(ジルコニア)にて治療を行いました。


| 主訴 | 前歯を綺麗にしたい |
|---|---|
| 治療期間 | 4ヶ月 |
| 治療費 | 合計:374,000円(税込) 【詳細】 セラミッククラウン1歯: 154,000円(税込)×2 歯周形成外科 1歯:33,000円(税込)×2 |
| 治療内容 | 歯周形成外科2本、セラミッククラウン(ジルコニア) 2本 |
| 治療のリスク | セラミックが破折する可能性あります。 |
前歯の色、形を変えたいと来院されました。
歯の神経がなかったため根の治療を行い、歯肉に炎症があったため歯肉の治療を行いました。その後セラミッククラウン(e-max)にて治療を行いました。


| 主訴 | 前歯を綺麗にしたい |
|---|---|
| 治療期間 | 8ヶ月 |
| 治療費 | 合計:1,111,000円(税込) 【詳細】 セラミッククラウン1歯: 154,000円(税込)×7 歯周形成外科 1歯:33,000円(税込) |
| 治療内容 | 歯周形成外科1本、セラミッククラウン(e-max)7本 |
| 治療のリスク | セラミックが破折する可能性あります。 |


| 主訴 | 前歯を治したい |
|---|---|
| 治療期間 | 4ヶ月 |
| 治療費 | 616,000円(税込) |
| 治療内容 | セラミック治療 |
| 治療のリスク | セラミックが破折する可能性あります。 |
以前に保険で治療した前歯の色、形を変えたいと来院されました。
歯の神経がなかったため根の治療を行い、歯肉に炎症があったため歯肉の治療を行いました。その後セラミッククラウン(e-max)にて治療を行いました。


| 主訴 | 前歯を綺麗にしたい |
|---|---|
| 治療期間 | 1年 |
| 治療費 | 合計:935,000円(税込) 【詳細】 セラミッククラウン1歯: 154,000円(税込)×5 歯周形成外科 1歯:33,000円(税込)×5 |
| 治療内容 | 歯周形成外科5本、セラミッククラウン(e-max)5本 |
| 治療のリスク | セラミックが破折する可能性あります。 |
歯肉が少し退縮しており、以前治療したセラミックと歯肉の間に黒い部分がでてしまっていることが主訴で来院されました。
根管治療を行いジルコニアセラミックで
治療しました。


| 主訴 | 前歯を治したい |
|---|---|
| 治療期間 | 12ヶ月 |
| 治療費 | 154,000円(税込) |
| 治療内容 | セラミック治療 |
| 治療のリスク | セラミックが破折する可能性あります。 |
治療回数は3回で終えることができました。
銀歯は非常に虫歯のリスクが高いため、セラミック治療は虫歯リスクを減らせる最善の治療方法だと考えらます。

銀歯の詰物は虫歯リスクが高く、虫歯になりやすい。金属アレルギーのリスクがあります。

セラミック治療は見た目が白くなり審美的になるだけではく虫歯にもなりくいです。体にも安心の材料です。
| 主訴 | 銀歯を治したい |
|---|---|
| 治療期間 | 1ヶ月 |
| 治療費 | 77,000円(税込) |
| 治療内容 | セラミック治療 |
| 治療のリスク | セラミックが破折する可能性あります。 |


| 主訴 | 全部治療したい |
|---|---|
| 治療期間 | 3年 |
| 治療費 | 5,940,000円(税込) |
| 治療内容 | 矯正治療・インプラント治療:奥歯3本 セラミック治療:前歯12本、奥歯13本 |
| 治療のリスク | 矯正治療は歯根吸収、歯肉退縮する可能性があります。 セラミック治療は割れる可能性があります。 インプラント治療後に痛み、腫れ、出血が出る可能性があります。 |


| 主訴 | 全体的に治療をしたい |
|---|---|
| 治療期間 | 3年 |
| 治療費 | 4,851,000円(税込) |
| 治療内容 | セラミック治療:前歯8本、奥歯12本 インプラント治療:前歯1本、奥歯2本 |
| 治療のリスク | セラミック治療は割れる可能性があります。 インプラント治療後に痛み、腫れ、出血が出る可能性が あります。 |


| 主訴 | 全体的に治療をしたい |
|---|---|
| 治療期間 | 3ヶ月 |
| 治療費 | 308,000円(税込) |
| 治療内容 | セラミック治療 |
| 治療のリスク | セセラミックが破折する可能性あります。 |


| 主訴 | 全体的に治療をしたい |
|---|---|
| 治療期間 | 2年6ヶ月 |
| 治療費 | 3,519,500円(税込) |
| 治療内容 | セラミック治療:前歯7本、奥歯16本 インプラント治療:前歯1本 |
| 治療のリスク | セラミック治療は割れる可能性があります。 インプラント治療後に痛み、腫れ、出血が出る可能性が あります。 |
| 診療時間 | 月 | 火 | 水 | 木 | 金 | 土 | 日 |
|---|---|---|---|---|---|---|---|
| 09:30 - 13:30 | ● | ● | ー | ● | ● | ● | ー |
| 14:30 - 18:30 | ● | ● | ー | ● | ● | ● | ー |